0f76d35adf857cd142d80b95b715b0b1.jpeg

Beber cuatro o más tragos un sábado por la noche, incluso si no bebe nada durante el resto del mes, puede causar más daño al hígado de lo que se pensaba anteriormente.

Esto es según un nuevo estudio estadounidense que encontró que las personas con enfermedad del hígado graso que informaron episodios ocasionales de consumo excesivo de alcohol tenían tres veces más probabilidades de desarrollar cicatrices hepáticas avanzadas que aquellos que bebieron la misma cantidad de alcohol en el transcurso del mes.

Aproximadamente uno de cada tres australianos se ve afectado por la enfermedad del hígado graso, donde se almacena demasiada grasa en las células del hígado.

El autor principal del estudio, Brian Lee, especialista en hígado de la Universidad del Sur de California, dijo que los investigadores querían responder una pregunta sobre los efectos del consumo de alcohol en personas con enfermedad del hígado graso.

“Si tienes una cuota de bebida, ¿importa cómo la distribuyas?”

dijo.

“Y resulta que así es.

“Sabes, mucha gente sólo bebe los fines de semana, por lo que si reduce la cantidad que bebe, es mucho más dañino para el hígado que si lo distribuye durante toda la semana”.

Los adultos más jóvenes y los hombres tienen más probabilidades de reportar un consumo excesivo de alcohol episódico, afirman los investigadores. (Pixabay: hacia el puente; Licencia)

Un estudio compara el consumo de alcohol “añejo” con el consumo excesivo de alcohol

El estudio del Dr. Lee utilizó datos de aproximadamente 8,000 adultos recopilados entre 2017 y 2023 como parte de la Encuesta Nacional de Examen de Salud y Nutrición de EE. UU. de larga duración, centrándose particularmente en personas con enfermedad hepática esteatótica asociada a disfunción metabólica (MASLD).

En Australia utilizamos el término enfermedad del hígado graso asociada al metabolismo (MAFLD) en lugar de MASLD.

La enfermedad crónica, alguna vez llamada enfermedad del hígado graso no alcohólico, es causada por un exceso de grasa en el hígado. La obesidad y la diabetes tipo 2 son factores de riesgo importantes.

Los investigadores compararon la salud del hígado de personas con MASLD que informaron haber bebido en exceso ocasionalmente una vez al mes con personas con la misma condición, edad y sexo que consumieron la misma cantidad de bebidas pero las distribuyeron durante un período de tiempo más largo.

El Dr. Lee dijo que las personas que informaron beber en exceso de forma episódica (definido como cuatro o más tragos en un ambiente para las mujeres y cinco o más para los hombres) tenían tres veces más probabilidades de tener fibrosis hepática avanzada.

La fibrosis hepática avanzada es una cicatrización grave del órgano y el precursor de la enfermedad hepática y el cáncer de hígado.

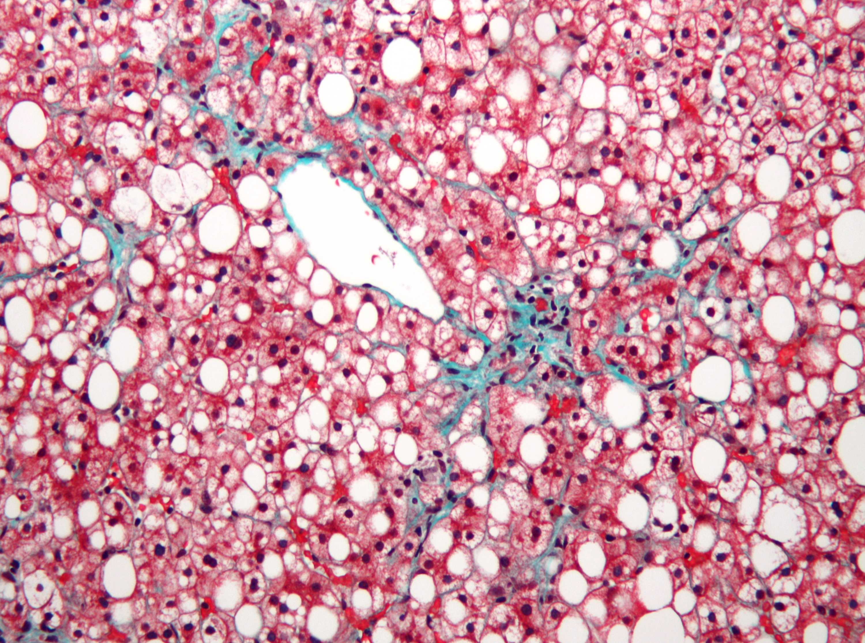
Micrografía de enfermedad del hígado graso no alcohólico.

Si se acumula demasiada grasa en el hígado, puede dañar el órgano. (Wikimedia Commons: Nefrona (CC-BY-SA-3.0))

El especialista en hígado de Melbourne, Nathan Connelly, que no participó en la investigación, describió los resultados como “sólidos”.

Sin embargo, el Dr. Connelly señaló que la investigación tenía algunas limitaciones importantes.

En primer lugar, el estudio se basó en que las personas informaran con precisión sobre su propio consumo de alcohol, lo que normalmente no era confiable.

En segundo lugar, no se tuvieron en cuenta otros posibles comportamientos (como el consumo de comidas preparadas o comida rápida) que podrían estar asociados con episodios de consumo excesivo de alcohol.

“Quizás las personas que beben más están haciendo otras cosas que aumentan su riesgo de fibrosis”, dijo el Dr. Connelly.

Los investigadores solo observaron los resultados de las exploraciones hepáticas en un momento específico, lo que el Dr. Connelly podría distorsionar si el paciente había bebido alcohol recientemente.

Dijo que es necesario comparar varias exploraciones a lo largo del tiempo para reflejar verdaderamente la salud del hígado de una persona.

Pero a pesar de estas limitaciones, el Dr. Connelly dijo que la conclusión del estudio era tan convincente que ahora hablaría con sus pacientes sobre los daños potenciales del consumo excesivo de alcohol ocasional, no sólo del consumo excesivo.

“Para mí, como practicante individual, será suficiente con prestar un poco más de atención a este tipo de borrachera ocasional”.

dijo.

“Tsunami perfecto” para la mala salud del hígado

Aunque el estudio del Dr. Lee utilizó datos de pacientes de EE. UU., existen fuertes paralelismos entre Australia y Estados Unidos.

La enfermedad del hígado graso afecta aproximadamente a uno de cada tres estadounidenses, el mismo porcentaje que los australianos.

Jacob George, investigador del hígado de la Universidad de Sydney que no participó en el estudio, dijo que se esperaba que la cifra aumentara.

“Se prevé que la enfermedad del hígado graso afectará a entre el 40 y el 50 por ciento de los australianos en 2040”, dijo.

“Es una carga de enfermedad enorme, cuya prevalencia aumentará en las próximas décadas”.

El profesor George dijo que este fuerte aumento se debe a nuestro entorno: la gente hace menos ejercicio, se siente más estresada y come más alimentos altamente procesados.

“De hecho, hemos experimentado un tsunami perfecto en el mundo en el que vivimos hoy, lo que ha creado un estilo de vida muy poco saludable para nosotros, y eso luego conduce a una salud metabólica muy pobre, lo que afecta nuestro hígado”, dijo.

Es mejor para el hígado mantenerlo a distancia.

El Dr. Lee describió los resultados del estudio estadounidense como una “llamada de atención” sobre el peligro potencial del consumo excesivo de alcohol ocasional.

Quiere que los profesionales médicos (y la comunidad en general) consideren los patrones de consumo de alcohol, no sólo el número total de bebidas consumidas.

“La moderación es lo mejor”, dijo el Dr. Lee.

“De hecho, si hablamos únicamente desde el punto de vista de la salud del hígado, lo mejor es no consumir alcohol.

Sin embargo, si planea beber, lo mejor para su hígado es que consuma alcohol durante un período de tiempo más prolongado.

Un primer plano de un joven con vello facial y salmonete bebiendo una bebida de color ámbar que parece cerveza.

El consumo excesivo de alcohol episódico consiste en cuatro o más tragos al día para las mujeres y cinco o más tragos al día para los hombres. (Unsplash: Zac Meadowcroft)

Según la última Encuesta Nacional de Salud de Australia, más de uno de cada cuatro adultos excedió las pautas nacionales sobre el consumo de alcohol, siendo los hombres y los adultos jóvenes los mayores bebedores.

El profesor George describió a Australia como “un país de bebedores compulsivos”.

“A medida que aumentan los casos de enfermedad del hígado graso, es más importante que nunca ser conscientes de nuestros propios hábitos de bebida y de cómo estos podrían afectar nuestra salud hepática en el futuro”, dijo.

Pero el profesor George dijo que no era sólo el alcohol lo que podía dañar el hígado y enfatizó la importancia de mantenerse activo, comer alimentos integrales y minimizar el estrés.

“No te sientes frente a la computadora ocho horas al día, tómate un descanso de dos a tres minutos cada hora”, dijo.

“Haga ejercicio con regularidad, haga ejercicios cardiovasculares y coma alimentos frescos en lugar de alimentos altamente procesados”.



Referencia

About The Author